Mundhygiene

Gesunde und gepflegte Zähne ein Leben lang!

Die Mundgesundheit spielt eine entscheidende Rolle für unser Wohlbefinden und unsere Lebensqualität. Ein strahlendes Lächeln und gesunde Zähne sind nicht nur ästhetisch ansprechend, sondern auch essenziell für unsere allgemeine Gesundheit. Auf dieser Seite erfahren Sie, warum eine gute Mundhygiene von großer Bedeutung ist und wie Sie Ihre Zähne optimal erhalten können. Entdecken Sie wertvolle Tipps und Informationen für eine wirkungsvolle  Mundpflege.

Maßnahmen zur Prophylaxe und Zahnreinigung

Prophylaxe (professionelle Zahnreinigung) erfolgt in unserer Zahnarztpraxis durch sanfte und zugleich gründliche Intensivreinigung der Zahnoberflächen und -zwischenräume. Durch die regelmäßige Politur werden nicht nur krankmachende Keime von den Zähnen entfernt, sondern die Oberfläche so geglättet, dass sie zu Hause wesentlich leichter zu reinigen ist. Durch die Entfernung von Rauhigkeiten und Verfärbungen und anschließende Politur werden Ihre Zähne weniger stark von Bakterien besiedelt. Hierdurch verringert sich das Risiko von Karies und Parodontose.

Durch die anschließende Fluoridierung wird der Zahnschmelz zudem effektiv gehärtet, um weiteren Zahnschäden vorzubeugen. Sie spüren nach der Prophylaxe ein angenehmes Frischegefühl!

Prophylaxe bildet daher einen Schwerpunkt in der Zahnarztpraxis Kiel Dr. Ehlers.

Mundhygienetraining am Monitor im Prophylaxeraum

Prophylaxebehandlungen bei Kindern und Erwachsenen sind dann besonders wirkungsvoll, wenn der Patient perfekt über seine Mundgesundheit aufgeklärt und mit der Pflege seiner Zähne vertraut ist. Bestandteil unseres Prophylaxekonzeptes ist daher ein Mundhygienetraining, welches unsere Patienten bei der Auswahl optimaler Hilfsmittel unterstützt und Sie einbindet.

Durch eine sorgfältige Mundhygieneinstruktion erfährt der Patient nicht nur Tipps zur optimalen Zahnpflege sondern auch regelmäßige Motivation. Sie möchten mehr über die richtige Zahnpflege erfahren? Fragen Sie uns – wir zeigen Ihnen, welche Technik für Sie die richtige ist! Wir beraten Sie gern zum Thema "Prophylaxe".

Das Ergebnis der Reaktion unseres Immunsystems auf die Bakterien ist Zahnfleischbluten, Taschenbildung, Zurückgehen des Zahnfleisches & Knochens und schließlich Lockerung und Verlust der Zähne. Eine konsequente Prophylaxe bzw. Parodontitis-Behandlung wirkt sich nicht nur positiv auf die Zahngesundheit aus, indem der Gewebsverlust aufgehalten wird, sondern auch schützend auf Herz und Gefäße.

Mittlerweile gilt es als gesichert, dass entzündliche Zahnbetterkrankungen einen Risikofaktor für Erkrankungen wie Schlaganfall, Herzinfarkt und sogar Frühgeburten darstellen können.

Maßnahmen zur Parodontose-Behandlung und Prophylaxe

Auf blutige und schmerzhafte Eingriffe mit dem Skalpell kann so in den meisten Fällen verzichtet werden. Eine gründliche Reinigung der Zahn- und Wurzeloberflächen ist hierfür eine Grundvoraussetzung.


Nach einer Parodontitisbehandlung schließt sich die regelmäßige konsequente Prophylaxe zum lebenslangen Zahnerhalt an. Ebenso ist die Einbindung des Patienten in eine perfekte Mundhygiene entscheident für den langfristigen Behandlungserfolg.

Ästhetik

gesunde & schöne Zähne

Zahnersatz (Prothetik) durch Vollkeramik (vorher)
Zahnersatz durch Vollkeramik / Zirkonoxid (nachher)

Mit vollkeramischen Restaurationen gelingt uns die bestmögliche Kombination von natürlicher Ästhetik, Zahnsubstanzschonung und Bioverträglichkeit. Vollkeramikkronen sind mittlerweile eine attraktive Alternative zu Goldversorgungen oder metallkeramischen Kronen geworden.

Restaurationen wie Klebebrücken oder Veneers aus der Hochleistungskeramik „Zirkonoxid" haben neben hoher Festigkeit die Eigenschaft, besonders gut verträglich zu sein, da keine Allergien ausgelöst werden.

Gemeinsam mit unseren zertifizierten Dentallabors aus Kiel finden wir die optimale ästhetische Lösung für Sie !

Strahlende Zähne nach Zahnaufhellung (Bleaching) bei Zahnarzt Dr. Heiko Ehlers

Sie legen viel Wert auf ein gutes Aussehen? Dabei kommt es nicht nur auf Kleidung oder Frisur an: gerade Mund und Zähne sind für den Gesamteindruck entscheidend. Ein freies Lachen mit gesunden und schönen Zähnen wirkt durchaus positiv auf unsere Mitmenschen.

Durch eine Zahnaufhellung (Bleaching) kann die Zahnfarbe oftmals wirkungsvoll um mehrere Farbstufen aufgehellt werden, ohne Zahnsubstanz abtragen zu müssen.

Egal, ob bei einzelnen dunklen Zähnen (z.B. „schwarzen“ Frontzähnen nach Wurzelbehandlungen) oder bei erblich bedingt dunkleren Zähnen – wir wählen für Sie die optimale Bleachingmethode aus.

Neben der herkömmlichen Zahnaufhellung mit Hilfe von Gel und einer Schiene (Home-Bleaching) bieten wir Ihnen das effektivere und gleichzeitig schonende Power-Bleaching in unserer Zahnarztpraxis in Kiel an. Dabei wird zudem das Zahnfleisch durch Cofferdam geschützt und ein Verschlucken von Bleichsubstanzen vermieden. Wir beraten Sie gern.

Ein Lächeln ist Ausdruck vieler Gefühle. Es steht für Freude, Zuwendung, Freundlichkeit und erleichtert unsere Kommunikation. Beruflich und privat hilft es uns als positiver „Türöffner“. Schöne Zähne sorgen für ein gepflegtes Erscheinungsbild und unterstützen die ästhetische Wahrnehmung.

Der Verlust eines Zahnes oder mehrerer Zähne kann daher unsere Lebensqualität entscheidend beeinflussen. Wenn die zahnärztliche Versorgung mit Zahnprothesen nur unbefriedigend war, können Beeinträchtigungen des Geschmacksempfindens auftreten und unsere Lebensfreude negativ beeinflussen. Wer den Wunsch nach festen & schönen Zähnen und damit mehr Lebensqualität hat, findet in Zahnimplantaten oft eine positive und ästhetische Alternative.

Auch Zahnerhaltung kann heute unter ästhetischen Gesichtspunkten schnelle und einfache Verbesserungen bewirken. Wurden vor Jahren noch unschöne schwarze Amalgamfüllungen verwendet, so lassen sich heute mit keramischen Werkstoffen unsichtbare Kompositfüllungen herstellen.

Auch durch schonende und überschaubare Behandlungen der Zähne lassen sich deutliche Verbesserungen erreichen: sei es nun durch eine schonende Aufhellung der Zahnfarbe (Bleaching), die sanfte Entfernung von Zahnverfärbungen durch Prophylaxe oder vollkeramische Restauration der Frontzähne mit Veneers oder Zirkonoxid-Kronen.

Veneers (vorher)
Veneers (nachher)

Ungepflegte oder unschöne Zähne können diesen ersten Eindruck schmälern und Menschen unsicher in ihrem Auftreten machen.

Mit Keramikverblendschalen (Veneers) können leichte Zahnfehlstellungen, Zahnlücken, unbefriedigende Zahnfarben und -formen sowie lokale Verfärbungen korrigiert werden. Durch Veneers erhalten die sichtbaren Oberflächen der Zähne ein gleichmäßig natürlich-schönes Aussehen. Die Zahnfarbe wird bei diesem Verfahren individuell verbessert.

Die Anfertigung der Keramikschalen erfolgt durch den Zahntechniker Im Dentallabor. Die verwendete Keramik ist dauerhaft farbstabil und belastbar, so dass diese Versorgung bei guter Zahnpflege eine lange Haltbarkeit aufweist. Der notwendige Zahnsubstanzabtrag ist bei Veneerversorgungen im Vergleich zu überkronten Zähnen geringer.

Zahnerhaltung

unser Ziel: der Zahnerhalt

Zahnarzt Dr. Heiko Ehlers mit Lupenbrille für die Zahnbehandlung

Nur das, was man exakt sehen kann, kann auch optimal behandelt werden. Daher arbeiten wir standardmäßig unter optischer Vergrößerung (Lupenbrille). Zur Kariesentfernung kommen feinste Instrumente zur Anwendung. Ein unnötiges Abtragen wertvoller Zahnsubstanz wird so verhindert.

Diese Philosophie erhöht nicht nur die Lebensdauer der Zähne und Restaurationen im Mund sondern trägt auch zu Ihrem Wohlbefinden nach einer Behandlung bei. Mittlerweile können wir Ihnen auch minimal-invasive Implantatsysteme anbieten, die die operativen Nebenwirkungen verringern können.

Entfernung alter Amalgamfüllungen

Es steht jedoch fest, dass viele Bestandteile dieses Füllungsmaterials unedel sind und für den Körper belastend sein können. Wir reagieren daher konsequent und sind seit Jahren eine amalgamfreie Praxis. Wir verwenden stattdessen biologisch verträgliche Füllungswerkstoffe mit ausgezeichneten Eigenschaften wie Komposit, Gold, Keramik oder Zirkonoxid.

Die Entfernung alter Amalgamfüllungen erfolgt zu Ihrem Schutz unter Cofferdam, um die Belastung mit Quecksilber und ungesunden Inhaltsstoffen zu verringern.

Cofferdam, das für Behandlungssicherheit sorgt

Durch die absolute Trockenlegung des zu behandelnden Zahnes erhöhen wir die Haltbarkeit Ihrer Füllung und halten Bakterien aus dem Arbeitsfeld fern.

Zudem wird der Patient vor dem Verschlucken von ungesunden Amalgambestandteilen wirkungsvoll geschützt. Cofferdam verbessert somit die Behandlungsqualität deutlich und erhöht die Lebensdauer Ihrer Füllungen und Restaurationen.

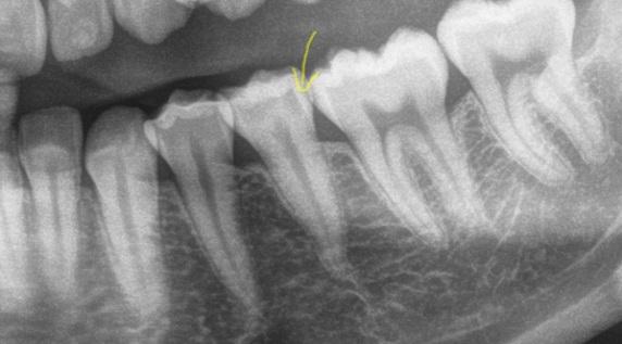
Befund: versteckte Zwischenraum-Caries am Backenzahn

Befund: versteckte Zwischenraum-Caries am Backenzahn

 unsichtbare<br />
Zwischenraum-Caries

unsichtbare
Zwischenraum-Caries

 minimal-invasive<br />
Caries-Entfernung

minimal-invasive
Caries-Entfernung

 hygienische Trocknung<br />
des Zahnes<br />
unter Cofferdam 

hygienische Trocknung
des Zahnes
unter Cofferdam 

Vorbereitung der Zahnsubstanz für den haltbaren Haftverbund

Vorbereitung der Zahnsubstanz für den haltbaren Haftverbund

Auftragen von Haftvermittlern (3 Schritte)

Auftragen von Haftvermittlern (3 Schritte)

Schichten der Komposit-Keramik

Schichten der Komposit-Keramik

Modellation, Ausarbeitung & Politur

Modellation, Ausarbeitung & Politur

Fertig: Die ästhetische Kompositfüllung!

Fertig: Die ästhetische Kompositfüllung!

Dental-Labor

eine eingespielte und enge Zusammenarbeit

Zahntechnik für Zahnimplantate
Zahnersatz auf Zahnimplantaten (Implantatprothetik)

Es handelt sich hierbei nicht um ein Zufallsprodukt sondern um das Ergebnis langjähriger enger Zusammenarbeit, Kommunikation und Weiterbildung. Wir vertrauen daher auf zahntechnische Qualität „Made in Germany“, um unseren Patienten ein Höchstmaß an Haltbarkeit, Passgenauigkeit und Ästhetik gewährleisten zu können.

Qualitätsmanagement und Zertifizierung unserer Dentallabors setzen wir in unserer Zahnarztpraxis für eine erfolgreiche Zusammenarbeit voraus. 

Zudem sind unsere Dentallabors zertifizierte Fachlabors für Implantatprothetik und Schnarcherschienen / Anti-Schnarchschienen. Somit können Sie sich bei der Anfertigung Ihres Zahnersatzes für Ihr Zahnimplantat oder Ihrer Schiene auf eine optimale Zahntechnik verlassen.